【以案说医】何世东:养阴健脾、清热解毒散结治疗鼻咽癌案
发布时间:2021-11-21 来源 :广东省中医药局 作者:佚名


▲何世东广东省名中医,第三批全国名中医传承工作室指导老师,东莞市名中医,广州中医药大学教授,享受国务院特殊津贴专家,现任世界中医药联合会名医传承工作委员会理事;东莞市中医学会理事;历任广东省中西结合学会消化资深专家委员会委员;广东省中西结合学会脾胃消化病专业;广东省中医药学会风湿病专业委员会委员;广东省中医药学会肾病专业委员会委员;广东省中西医结合虚证与老年医学会常委委员。
医案是中医临床实践的记录,体现了诊疗过程中理、法、方、药的具体运用,是医家诊治疾病思维过程的表现。历代名家医案是中医药宝库中的瑰宝。我们推出【以案说医】栏目,以期传承精华,启迪我辈,共同进步。
【基本资料】
萧某某,女性,时年37岁。2019年1月9日初诊。
发病过程:2017年6月自觉右颈部肿物,局部无压痛,活动度尚可,无伴回吸性涕血,无咳嗽咳痰,当时未予重视,随后肿物逐渐增大,活动度较前转差,2017年8月至外院门诊行右颈部淋巴结穿刺活检病理提示:转移性未分化非角化癌或淋巴上皮瘤样癌。免疫组化:CK+,P40+,CD3-,CD20-,Ki6750%,EBERS+。2017年9月于外院住院行鼻咽部MR示:1、鼻咽后壁及顶壁肿块,考虑为鼻咽癌,伴颅底骨质破坏;2、颏下、双侧颌下、咽后间隙、双侧颈深浅间隙多发淋巴结,部分肿大,考虑为淋巴结转移;胸部及上腹部CT未见明显占位转移,当时确诊为鼻咽未分化非角化癌T4N2Mx,患者拒绝放化疗及其他治疗。
【首诊证候】
刻诊:患者右侧颈部大肿块,大小约10×9cm,肿痛感,局部皮肤瘀暗,质硬,活动差,大便4~5次,纳可,眠差,无疲乏。舌红苔黄,脉滑数。
【辨证论治】
西医诊断:鼻咽后壁恶性肿瘤 未分化型癌(右后壁及顶壁,非角化癌,2008分期 T4N3M0 ⅣA期 AJCC分期 T4N3M0 ⅣB期)。
中医诊断:石上疽。
证属:热毒郁滞。
治法:清热解毒散结。
处方:
苍耳子15克,夏枯草40克,赤芍15克,茯苓30克,黄药子10克,山慈姑15克,薏苡仁40克,全蝎5克,天龙10克,石上柏20克,僵蚕15克,蛇舌草30克,皂角刺30克,蜈蚣2条,猫爪草30克,蜂房15克。日一剂,水煎至400ml早晚分服。
【随诊过程】
2019年1月14日至2019年2月25日在何主任建议下第一次我院肿瘤科住院:
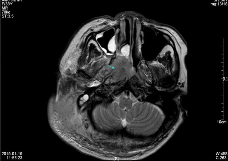
查【EB病毒五项】EB病毒VCA抗体(IgA) 阳性(+),EB病毒壳抗原(VCA)IgG抗体 阳性(+),EB病毒核抗原(EBNA1)IgG抗体 阳性(+),EB病毒早期抗原(EA)IgG抗体 阳性(+)。【肿瘤筛查1组(女)】糖链抗原CA-153 45.3U/ml。恶性肿瘤特异性生长因子 77U/ml。鼻咽MRI:1、考虑鼻咽癌,并侵犯周围结构及颅底骨质,伴右侧颈部、咽旁淋巴结多发转移(最大约60mm×49mm),请结合临床及其他检查。2、副鼻窦炎,右侧中耳乳突炎(见图一、二)。
诊断:鼻咽后壁恶性肿瘤 未分化型癌(右后壁及顶壁,非角化癌,2008分期 T4N3M0 ⅣA期 AJCC分期 T4N3M0 ⅣB期)治疗上予以抑瘤扶正、止痛、抗乙肝病毒等对症治疗。于2019年01月26日开始单药化疗,方案(希罗达 1500mg po d1-14),过程顺利无诉不适,肿块较前稍缩小,考虑患者第一程化疗耐受性可,第二程双药联合化疗,2019年2月16日行第二程化疗,方案:希罗达1500mg d1-d14+吉西他滨1.5g d1,8,化疗期间患者无明显不良反应。2程化疗后肿块明显缩小。
二诊:2019年2月27日
纳可,大便1~2次/天,疲乏,眠可,右边颈部肿块明显缩小,舌淡,苔白腻,脉弦滑。
处方:苍耳子10克,夏枯草30克,石上柏20克,薏苡仁30克,黄芪20克,胆南星10克,赤芍15克,皂角刺30克,蜂房15克,法半夏15克,全蝎8克,莪术15克,甘草5克,蛇舌草30克,冬凌草15克。日一剂,水煎至400ml早晚分服。
2019年3月6日至2019年3月18日第二次我院住院:
查颈部MR:1、鼻咽癌,并侵犯周围结构及颅底骨质,伴右侧颈部、咽旁淋巴结多发转移,与前片(2019年01月19日)比较,鼻咽肿块及转移淋巴结较前缩小(最大者约30mm×52mm)。2、副鼻窦炎,右侧中耳乳突炎(见图三、图四)。排除禁忌症,2019年3月9日、2019年3月30日行GX方案第3-4程化疗,方案:希罗达1500mg d1-d14+吉西他滨1.5gd1,8,化疗期间患者无明显不良反应。
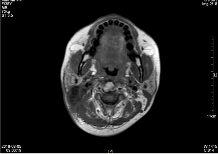
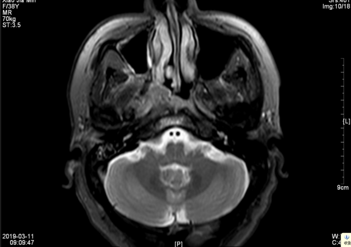
第4程化疗结束后前往外院就诊,行TP化疗2程,后联合尼妥珠单抗同步放化疗(局部放疗共34次,各靶区计划照射:PGTVnx:70.4Gy/2.2 Gy/32f,PCTV1:64.0Gy/2.2 Gy/32f,PCTV2:57.6Gy/1.8Gy/32f,PGTVnd:68.8Gy/2.15 Gy/32f,最后一次放疗于2019年6月28日结束。2019年7月复查颈部+鼻咽增强MRI:1、鼻咽癌综合治疗后复查,与前片(2019年03月11日)比较,鼻咽病灶及转移淋巴结较前明显缩小、减少(大小约11mm×16mm×18mm);颅底及颈部软组织水肿考虑放疗后改变。2、副鼻窦炎,右侧中耳乳突炎。(见图五、图六)
三诊:2019年4月12日
患者右颈肿块,大小4×3cm,纳可,大便2~3次,疲乏不明显,舌淡红,齿印,苔白,脉沉弦滑。
处方:苍耳子10克,僵蚕15克,蜂房15克,蛇舌草30g,法夏15克,夏枯草15克,茯苓30克,薏苡仁30克,白术15克,赤芍15克,石见穿30克,生牡蛎30g,全蝎5克,皂角刺30克。日一剂,水煎至400ml早晚分服。
四诊:2019年5月13日
患者已放疗2次,口干,有痰,纳可,疲乏不明显,舌淡红,苔白腻,脉弦细。
处方:黄芪15克,蜂房15克,白术20克,薏苡仁30克,全虫5克,夏枯草30克,甘草5克,蛇舌草30克,皂角刺30克,赤芍15克,北沙参20克,法夏15克,猫爪草30克,厚朴5克(后下)。日一剂,水煎至400ml早晚分服。
五诊:2019年6月13日
口干口损,纳眠可,疲乏,恶心,大便稀1次量少,舌暗瘦淡红,苔薄黄,脉弦滑细。
处方:竹茹30克,北沙参20克,石斛15克,甘草6克,茯苓30克,山药20克,黄精15克,枸杞子15克,蛇舌草40克,女贞子15克,黄芪15克,菟丝子15克。日一剂,水煎至400ml早晚分服。
六诊:2019年7月18日
肿块基本消失,口干好转,吞咽好转,味觉好转,大便1次成形,无疲乏,眠可,脉沉弦细,舌淡红齿印,苔白。
处方:黄芪20克,白术15克,茯苓20克,薏苡仁30克,蛇舌草30克,山药15克,浙贝母10克,甘草5克,生牡蛎30克,青天葵15克,女贞子15克,石斛15克,蜈蚣2克。日一剂,水煎至400ml早晚分服。
效果:患者全程使用中医药治疗,配合西医治疗,疗效显著,目前达到完全缓解,生活自在,如同正常人般。
【按语】
本案例中患者初诊时肿块较大(约11cm×10cm),局部皮肤瘀暗,质硬,活动差,舌红苔黄,脉滑数,患者病程虽久,但年轻,素体不弱,未出现慢性消耗性表现,未行放化疗及其他西医治疗,邪盛正不虚,故初诊以攻邪为主,辅以扶正。何主任主张瘀血重而邪气实时则选用虫类药,如土鳖、水蛭、全虫、蜈蚣等,但选用虫类药物应注重剂量及用药持续时间,用药适可而止,将邪毒衰其大半后,再使用扶正药物扶正驱邪继续消除残留癌肿,排兵布阵有法有度方可取得胜利。
治疗经验:何主任认为,中医治疗鼻咽癌重在辨证,应分清寒热虚实,同时要结合不同的治疗时期,如邪实正不虚时应以攻邪为主,放疗期间阴液耗伤明显,应配合滋阴养津,化疗期间脾胃损害明显,或伤肾致白细胞、血小板、红细胞下降,应重扶脾胃及补肾,同步放化疗后机体正气损伤明显,应注意扶正促进机体恢复。中西医结合治疗肿瘤可保证放化疗的顺利进行,减轻毒副作用,增加疗效,提高患者生存质量,延长生存期。■
▲图一 2019年1月19日 治疗前淋巴结MRI(60mm×49mm)
▲图二 2019年1月19日 治疗前鼻咽部肿块MRI

▲图三 2019年3月11日 治疗两程后淋巴结MRI(30mm×52mm)
▲图四 2019年3月11日 治疗两程后鼻咽肿块MRI
▲图五 2019年8月5日 放化疗后淋巴结MRI(18mm×16mm)
▲图六 2019年8月5日 放化疗结束1月鼻咽部MRI(病灶消失)
郑重申明:
由于每个人的体质和病情不同,本案中的方药和剂量仅适用于本案病人当时的病情。未经中医辨证诊治,不得照搬使用本案中的处方和剂量。广大读者如有需要,应前往正规医院诊治,以免贻误病情。
【来源:谢洁芸.何世东教授治疗鼻咽癌验案一则[J].发表中本案整理:谢洁芸】
原文链接:http://szyyj.gd.gov.cn/zyyfw/mymkmj/content/post_3668091.html
[免责声明] 本文来源于网络转载,仅供学习交流使用,不构成商业目的。版权归原作者所有,如涉及作品内容、版权和其它问题,请在30日内与本网联系,我们将在第一时间处理。
- 上一篇:国医大师杨春波:中医对发热的认识和治疗
- 下一篇:国医大师熊继柏:治疗糖尿病经验


