【以案说医】林丽珠:宣肺理气、解毒散结法治疗肺腺癌一例
发布时间:2021-11-08 来源 :广东省中医药局 作者:佚名

▲林丽珠广东省名中医,广州中医药大学第一附属医院副院长,医学博士,教授,主任医师,博士生导师。党的十九大代表,全国先进工作者。著名中医肿瘤学家及中西医结合肿瘤学家,国医大师周岱翰教授学术继承人,广东省教学名师,首批广东省医学领军人才,全国最美中医,中国好医生,享受国务院政府特殊津贴专家。国家临床重点专科、全国中医肿瘤重点专科负责人及学术带头人,国家区域中医(肿瘤)诊疗中心建设单位负责人,国家药物临床试验机构肿瘤专业负责人,广东省重点学科中西医结合(临床)学科带头人。兼任广东省总工会副主席,《中医肿瘤学杂志》副主编,世界中联癌症姑息治疗研究专委会会长,中国民族医药学会肿瘤分会会长,广东省中医药学会肿瘤分会主任委员,南方中医肿瘤联盟主席等。
医案是中医临床实践的记录,体现了诊疗过程中理、法、方、药的具体运用,是医家诊治疾病思维过程的表现。历代名家医案是中医药宝库中的瑰宝。我们推出【以案说医】栏目,以期传承精华,启迪我辈,共同进步。
【基本资料】
陈某某,女性,时年57岁,2015年10月19日初诊。
发病过程:2015年4月出现反复干咳少痰,无咳血,当地治疗诊治后未好转,2015年6月出现声音嘶哑,2015年7月6日当地行胸部CT:左肺上叶病灶,肺癌并阻塞性炎症可能,纵隔淋巴结肿大。2015年7月16日外院行胸腹CT:左肺上叶尖后段见一团块状肿物,大小约40mm×25mm,边缘毛糙,可见分叶和短毛刺,密度不均匀,内见小空腔影,增强呈不均匀强化,病灶下极紧贴纵隔胸膜生长,与左肺动脉分界不清。左肺下叶见多发结节,边界尚清,短径约3-5mm。颅脑MR未见明确占位性病变。支纤镜检查:声带麻痹,所见气管、各级支气管未见异常,病理不详。2015年7月20日我院就诊,患者2015年7月24日我院行肺穿刺病理:左上肺中分化腺癌(病理号151380)。于2015年7月30日、8月25日予2程TP方案化疗,疗效评价SD。结合2015年7月外院基因检测:19外显子突变,2015年9月开始服用埃克替尼。
【首诊证候】
主诉:发现肺部肿物3月余。
刻诊:患者咳嗽少痰,声音嘶哑,气短,口苦,无胸闷胸痛,纳眠可,二便正常,舌红苔白,脉细。
【辨证论治】
西医诊断:左肺中分化肺腺癌(T4N2M0 ⅢB期,EGFR 19del(+))。
中医诊断:肺癌病。
证属:肺郁痰凝。
治法:宣肺理气,解毒散结。
处方:
桔梗10g、僵蚕10g、枳壳15g、厚朴 10g、地龙10g、龙葵30g、泽泻15g、杏仁10g、浙贝母15g、盐蛇干6g、山慈菇15g、半枝莲30g、肿节风30g、枇杷叶15g、车前子20g、红豆杉2包、甘草 6g。共21剂,日一剂,水煎至250ml,早晚饭后温服。
处方分析:方中山慈菇、半枝莲、肿节风、龙葵、红豆杉清热解毒、扶正抑瘤,此为林教授临床常用药物,林教授治疗肿瘤时,除了重视辨证,还强调辨病使用抗癌中成药以抑瘤消肿,辨证与辨病相结合是中医治疗肿瘤的重要特点。肺为贮痰之器,“痰” 是肺癌发病过程的关键因素,治痰先治气,应以顺气为先,林教授常用杏仁、枳壳、桔梗开宣肺气、宽胸理气,厚朴下气除满,以复其治节,气行则痰无贮蓄之所。考虑痰结与癌毒已日久成积,胶结难去,林教授常以化痰散结药,如浙贝、法半夏、猫爪草等与解毒通络的虫类药并用,如方中僵蚕、盐蛇干、地龙等,以解毒散结、搜痰剔络。肺气愤郁,失于通调而水道不通,津液积聚,易聚饮生痰,故以泽泻、车前子等利水逐饮。此外,林教授还重视顺应四时调整用药,秋天多燥病,患者干咳、声嘶除与肺疾相关,也同时令季节相关,故予枇杷叶清燥润肺。处方最后以甘草调和诸药药性。诸药合用,共奏宣肺理气,解毒散结之功。
【随诊过程】
二诊:2016年10月10日
症见:诉咽痛1年,口干口苦,咳嗽咳痰不多,服靶向药期间刷牙时有出血。舌淡红,苔薄白,脉弦细。
治法:宣肺理气,解毒散结。
处方:
桔梗10g、苦杏仁10g、僵蚕10g、山慈菇15g、半枝莲30g、龙葵30g、肿节风30g、姜厚朴10g、浙贝母15g、甘草6g、玄参15g、红豆杉2包、牛蒡子15g、威灵仙15g、香附15g、盐牛膝15g、白术15g、茯苓 25g。共30剂,日一剂,水煎至250ml,早晚饭后温服。
处方分析:患者虽有口干口苦等火热之象,然患者老年,多属本虚标实,此为土不伏火,虚火上炎所致。治宜引火归元,补土伏火。故去在前方基础上减枳壳、盐蛇干、地龙、泽泻、车前子、枇杷叶,加盐牛膝引火归元,白术、茯苓扶中土,香附理气宽中,威灵仙通痹止痛,玄参、牛蒡子利咽散结、解毒消肿。
三诊:2018年1月25日
症见:诉咽干,时有咽痛,口干,无口苦,眠差易醒。舌暗,苔白,脉细弦。左肺多发结节稍增大(2018年1月3日复查CT:左上肺结节现约24.4mm×18.3mm×17mm,原24mm×18mm×17mm;左下肺结节较大者现约10mm×6mm,原约8mm×4mm)。
治法:宣肺散结,解毒祛瘀。
处方:
桔梗10g、玄参15g、牛蒡子15g、山慈菇15g、半枝莲30g、龙葵30g、肿节风30g、酸枣仁15g、土鳖虫6g、桃仁10g、醋莪术15g、苦杏仁10g、僵蚕15g、壁虎6g、蒸陈皮10g、红豆杉2包、法半夏15g、甘草6g。共28剂,日一剂,水煎至250ml,早晚饭后温服。
处方分析:患者咽痛减轻,胃纳可,在前方基础上去厚朴、贝母、威灵仙、香附、牛膝、白术、茯苓。患者病稍进,察其舌象痰瘀胶着明显,加予壁虎攻毒散结,土鳖虫、桃仁、莪术活血化瘀,陈皮、半夏燥湿祛痰,另予酸枣仁养血安神。
【按语】
对于肺癌的治疗,要根据患者的分期、病理分类、体质等状况综合评估,拟定最适合患者的治疗方案。对于中晚期患者,多数已无手术机会,现代医学目前所采取的主要方法有化疗、放疗、靶向以及免疫治疗等,均属中医“攻法”范畴。其中靶向治疗实现了肺癌治疗的精准化,对于具有敏感突变位点的患者,大大降低了传统化疗药物全身非选择性作用引起的广泛毒副反应,如脱发、骨髓抑制、胃肠道症状等,且多数靶向药物为口服剂型,故可为包括老年人在内的大部分患者所接受,有较好的依从性。目前,中医药与靶向药物联合可有效减缓耐药性和提高相关不良反应的耐受性。一项荟萃研究表明,中药联合一代EGFR-TKI治疗NSCLC相较于单用一代EGFR-TKI具有更好的有效性及安全性。林丽珠教授开展的一项研究中也发现,相较于单用吉非替尼,益气除痰方联合吉非替尼治疗NSCLC疗效更优,并有改善免疫、减轻副反应,提高生存质量的作用。
林教授指出论治肺癌时首先要了解肺癌的病因病机,肺为娇脏,不耐寒热,易受邪毒侵袭,肺失宣降,肺气贲郁,脉络阻塞,气血瘀滞不畅,津液布散失职,水湿停聚成痰,气滞、痰凝、血瘀、邪毒交杂搏结,久而形成肿块,整个肺癌进程中贯穿着痰、瘀、毒、虚四字。在肺癌的综合治疗中,中医治疗要根据病机特点,病情的复杂性,审时度势,分清主次进行辨证论治。该患者在靶向治疗过程中,虚象不著,故治法以祛邪为主,其辨证属肺郁痰凝,应从宣肺、理气、解毒、散结进行遣方论治,同时改善患者合并症状,提高生活质量。
肺癌一代 EGFR-TKI 的 PFS 疾病无进展生存期通常为 8~13 个月。此例为老年局部晚期肺腺癌患者,伴有 EGFR 19del 突变,口服埃克替尼靶向治疗。患者自发病后服用靶向药及中药治疗,疾病无进展生存期显著延长,达到 22 个月(2015 年 9 月至 2017 年 7 月);患者至今带瘤生存,总生存期已达6年,生活质量可,充分体现了中西医结合治癌的优势。
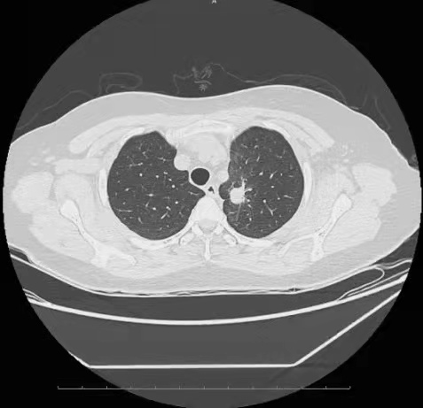
▲2015年11月我院CT 左上肺病灶,16mm×15mm

▲2017年7月我院CT 左上肺病灶,26mm×16mm

【郑重申明】
由于每个人的体质和病情不同,本案中的方药和剂量仅适用于本案病人当时的病情。未经中医辨证诊治,不得照搬使用本案中的处方和剂量。广大读者如有需要,应前往正规医院诊治,以免贻误病情。■
原文链接:http://szyyj.gd.gov.cn/zyyfw/mymkmj/content/post_3628457.html
[免责声明] 本文来源于网络转载,仅供学习交流使用,不构成商业目的。版权归原作者所有,如涉及作品内容、版权和其它问题,请在30日内与本网联系,我们将在第一时间处理。
- 上一篇:八位国医大师治疗肺癌的经验方
- 下一篇:国医大师班秀文:治妇人带下病经验


