【以案说医】林丽珠:四君子汤合下瘀血汤治疗壶腹癌术后无瘤生存7年余
发布时间:2021-10-16 来源 :广东省中医药局 作者:佚名
▲林丽珠广东省名中医,广州中医药大学第一附属医院副院长,医学博士,教授,主任医师,博士生导师。党的十九大代表,全国先进工作者。著名中医肿瘤学家及中西医结合肿瘤学家,国医大师周岱翰教授学术继承人,广东省教学名师,首批广东省医学领军人才,全国最美中医,中国好医生,享受国务院政府特殊津贴专家。国家临床重点专科、全国中医肿瘤重点专科负责人及学术带头人,国家区域中医(肿瘤)诊疗中心建设单位负责人,国家药物临床试验机构肿瘤专业负责人,广东省重点学科中西医结合(临床)学科带头人。兼任广东省总工会副主席,《中医肿瘤学杂志》副主编,世界中联癌症姑息治疗研究专委会会长,中国民族医药学会肿瘤分会会长,广东省中医药学会肿瘤分会主任委员,南方中医肿瘤联盟主席等。
医案是中医临床实践的记录,体现了诊疗过程中理、法、方、药的具体运用,是医家诊治疾病思维过程的表现。历代名家医案是中医药宝库中的瑰宝。我们推出【以案说医】栏目,以期传承精华,启迪我辈,共同进步。
【基本资料】
董某某,男性,时年54岁,2014年6月13日初诊。
发病过程:患者于2014年2月出现乏力,纳差,肤色黄。2014年4月行腹部MR示:肝内外胆管,胰管扩张,胆总管壶腹部变窄、中断,考虑壶腹肿瘤可能。Ca199 417.2U/ml。2014年4月28日行胰十二指肠癌切除术,术后病理:十二指肠壶腹高分化腺Ca。送检淋巴结及胃切端,十二指肠切端及胰腺组织,大网膜组织未见Ca。2014年6月9日腹部彩超示:肝多发囊肿,余未见明显异常,血分析及肝功未见明显异常。患者未行放化疗。
【首诊证候】
刻诊:术口疼痛,胃脘部疼痛,进食后缓解,无反酸、嗳气及呃逆,口干口苦,纳可眠安,大便3-4次/日,质软成形,舌淡红,苔白,脉细。
【辨证论治】
西医诊断:十二指肠壶腹部腺癌 T2N0M0 ⅠB期。
中医诊断:积聚。
证属:脾虚湿热证。
治法:健脾补气,化瘀解毒。
处方:
党参15g、白术15g、茯苓25g、木香10g、法夏15g 苏梗15g、山慈菇15g、半枝莲15g、土鳖虫6g、桃仁10g、枳壳15g、姜厚朴10g、红豆杉6g、泽泻15g、郁金10g、甘草6g,14剂,每日1剂,水煎煮250-300ml,饭后一次温服。
中成药:槐耳颗粒1袋 tid;安康欣胶囊5粒 tid,饭后服。
【随诊过程】
二诊:2014年7月3日
患者左下腹疼痛不适,胃脘部偶隐痛,无嗳气反酸,口苦,纳眠可,大便稍干硬,2-3次/日,成条,小便正常,舌淡,苔白腻,脉弦细。CT示:十二指肠壶腹Ca根治术后,局部腹腔多发小淋巴结肿,多发肝囊肿,右肾囊肿,余未见明显异常。前方中去郁金,加龙葵30g,砂仁6g,莱菔子15g,30剂。
三诊:2014年8月4日
上方调整一月,患者腹部疼痛缓解,剑突下仍隐痛,饿时尤甚,偶有嗳气,自觉术口有异物感,可扪及皮下黄豆样肿物,稍口干口苦,小便量多色黄,尿频尿急,大便色黄,成形,纳眠可,舌淡苔白腻,脉弦。前方中去白术、茯苓、砂仁、莱菔子,加预知子15g、蒲公英30g、黄芩15g,30剂。
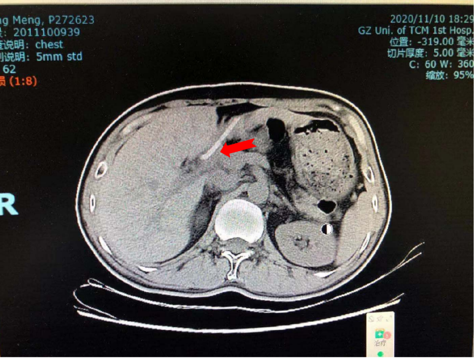
患者术后长期在林丽珠教授门诊随诊,目前中医药维持治疗已达7年余,KPS90分,2020年11月10日术后CT复查未见复发及转移。
【按语】
壶腹癌是指生长于十二指肠乳头及附近黏膜、壶腹内黏膜、胰管开口及胆总管下段黏膜的恶性肿瘤[1-2]。原发于壶腹部的恶性肿瘤几乎都是腺癌,极少数为神经内分泌瘤及淋巴瘤等。在所有消化道恶性肿瘤中,壶腹癌发病率大约占 0.2%,占壶腹周围肿瘤的6%,发病率约6/100万[3]。壶腹癌患者预后较好,切除术后5年生存率为35.7%~68%,大部分集中在35%~46%。尽管预后良好,但大多数壶腹癌患者将死于复发性疾病[4]。
本病属于中医“积聚”范畴,其主要病机是机体阴阳失调,正气虚弱。李中梓的《医宗必读》:“积之成也,由正气不足,而后邪气踞之”。湿热、火毒、瘀滞属病之标,脾虚、肾亏、正气不足乃病之本,二者互为因果,由虚致积,因积而愈虚。
对于十二指肠壶腹癌的辨证论治,临床上主要分为以下临床证型:痰湿内停、瘀毒内结、脾肾阳虚、肝肾阴虚、气血两亏等。痰湿内停者,应化痰利湿,可予二陈汤加减;瘀毒内结者,需化瘀软坚解毒,多予膈下逐瘀汤加减;对于脾肾阳虚、肝肾阴虚、气血两亏等虚证患者则以扶正补益为主。
林丽珠教授认为,本病辨证主要应辨便血、便形、腹痛、腹泻情况以辨虚实。此病人核心病机为湿热,并由湿热进一步演化为热毒,瘀毒结于肠中,日久形成结块,故应以行气通腑泄热为治疗原则,兼顾扶正。病人术后正气虚弱,以四君子汤健脾扶正,下瘀血汤化瘀软坚,腹痛明显,应用土鳖、桃仁以活血消癥,山慈菇、半枝莲以清热化瘀散结。
在主病辨治基础上,亦兼顾各类兼证的辨证加减。气滞腹胀腹痛者,加木香、槟榔、八月札等行气止痛;脾虚湿盛泄泻者,加薏苡仁、土茯苓等健脾渗湿止泻;气滞热结便秘者,加枳实、厚朴、大黄等行气通便;大便黏腻者,湿热型加黄芩、黄连、败酱草等以清热祛湿、祛瘀排脓,寒湿型加干姜、桂枝、白术、茯苓等以健脾祛湿;腹水者,加大腹皮、泽泻等借利小便将水湿之邪从下引出;伴纳差食积者,加鸡内金、山楂等消食化积;伴心血不足失眠者,加酸枣仁、远志等养心安神。
十二指肠壶腹癌术后患者,通过本病及兼证的全程中医药辨证治疗,获得更长的无病生存期,更高的生活质量。
郑重申明:
由于每个人的体质和病情不同,本案中的方药和剂量仅适用于本案病人当时的病情。未经中医辨证诊治,不得照搬使用本案中的处方和剂量。广大读者如有需要,应前往正规医院诊治,以免贻误病情。■
[1]Ito K, Fujita N, Noda Y, et al. Diagnosis of ampullary cancer[J]. Dig Surg, 2010, 27(2):115-118.
[2] Jiang ZQ, Varadhachary G, Wang X, et al. A retrospective study of ampullary adenocarcinomas: overall survival and responsiveness to fluoropyrimidine-based chemotherapy[J]. Ann Oncol, 2013, 24(9):2349-2353.
[3] Lee JH, Lee KG, Ha TK, et al. Pattern analysis of lymph node metastasis and the prognostic importance of number of metastatic nodes in ampullary adenocarcinoma[J]. Am Surg, 2011, 77(3):322-329.
[4] Survival After Resection of Ampullary Carcinoma: A National Population-Based Study[J]. Annals of Surgical Oncology, 2008, 15(7):1820-1827.
附:
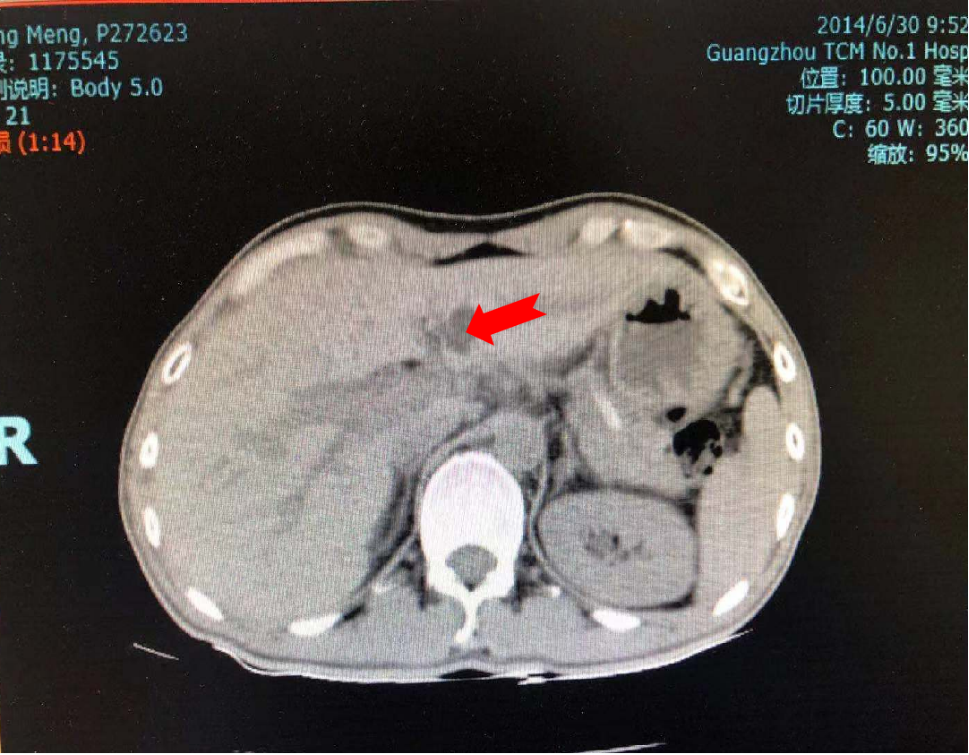
1、患者十二指肠壶腹Ca根治术后6年余,未见肿瘤复发。
治疗前:2014年6月30日CT示:十二指肠壶腹Ca根治术后,胆囊及胰头切除,胰管内支架,胃空肠吻合,局部腹腔多发小淋巴结肿,多发肝囊肿,右肾囊肿,余未见明显异常。
治疗后:2020年11月10日复查CT示:1.左上肺局部肺大疱,左上肺前段小结节,较前相仿,考虑良性可能性大。2.十二指肠壶腹Ca根治术后改变,胰管内支架移动至十二指肠内。左肾上腺结节较前变化不大,考虑增生性结节可能。肝脏多发囊肿。
原文链接:http://szyyj.gd.gov.cn/zyyfw/mymkmj/content/post_3559727.html
[免责声明] 本文来源于网络转载,仅供学习交流使用,不构成商业目的。版权归原作者所有,如涉及作品内容、版权和其它问题,请在30日内与本网联系,我们将在第一时间处理。


